Adv Sci 上海交通大学医学院附属第一人民医院冯睿/刘军军教授团队揭示FAP促进胸主动脉夹层发生发展的分子机制
2026-02-17 论道心血管 论道心血管 发表于陕西省
本研究探索了FAP在TAD中的作用及分子机制。
胸主动脉夹层(Thoracic aortic dissection, TAD)是一种危及生命的主动脉急症,其急性期死亡率和致残率极高。目前临床内科治疗手段局限于血压控制等非特异性措施,尚缺乏针对疾病进程的靶向干预方案。研究表明,TAD的发病与主动脉中膜结构破坏密切相关,其特征表现为细胞外基质(ECM)进行性退变。然而,ECM降解的具体分子调控机制尚未完全明确。
近年研究发现,成纤维细胞活化蛋白(Fibroblast activation protein, FAP)作为一种属于二肽基肽酶家族的丝氨酸蛋白酶,在多种病理组织重塑过程中发挥关键作用。Brokopp等人证实,FAP表达水平在粥样硬化斑块中较正常血管显著升高,且与斑块进展程度呈正相关1。最新研究进一步揭示FAP在腹主动脉瘤中存在异常高表达现象2。鉴于FAP独特的酶学活性及其在病理组织中的选择性高表达特性,该分子已成为极具潜力的心血管治疗候选靶点3。然而,FAP在TAD中的表达特点、功能及其分子调控机制仍不明确,亟待深入探索。
2026年2月4日,上海交通大学医学院附属第一人民医院血管外科冯睿/刘军军教授团队在国际期刊Advanced Science上发表题为“Fibroblast activation protein promotes thoracic aortic dissection via PLAUR/ITGB1-mediated pro-inflammatory macrophage polarization”的文章,探索了FAP在TAD中的作用及分子机制。

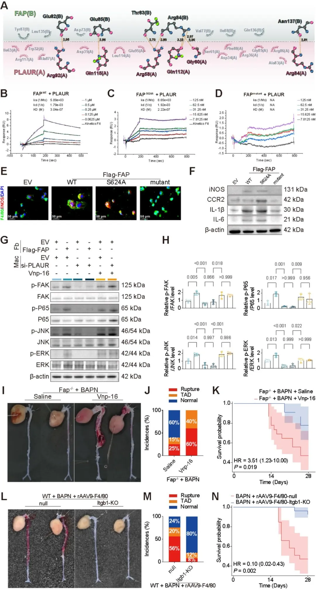
研究首先从多组学结合临床样本、BAPN诱导小鼠TAD模型发现:在人和小鼠TAD病变组织中,FAP表达水平在夹层病变处显著上调。同时,FAP空间分布与炎症细胞浸润区域重叠,提示其可能参与调控局部免疫微环境。

在功能验证中,全身性或成纤维细胞特异性敲除Fap可显著减轻BAPN诱导的小鼠主动脉炎症浸润、弹性纤维断裂与胶原沉积紊乱,并有效降低TAD发生率及破裂、死亡风险。有趣的是,通过药物(Ac-Gly-BoroPro)抑制FAP的蛋白酶活性虽能有效阻断其二肽基肽酶及内肽酶功能,却未能预防TAD发生。

机制层面,研究发现成纤维细胞来源的FAP通过其非催化结构域直接与巨噬细胞PLAUR结合,该相互作用不依赖于FAP的酶活性位点(Ser624)。该结合进而促进PLAUR与ITGB1形成复合物,激活下游FAK磷酸化,继而触发NF-κB和MAPK信号通路,最终诱导巨噬细胞向促炎表型极化并大量分泌IL-1β、IL-6和TNF-α等炎症因子。通过药物激活ITGB1或在巨噬细胞中敲除Itgb1可分别逆转或模拟Fap缺失的保护效应。

综上,该研究阐明了一条由成纤维细胞FAP通过非酶机制经PLAUR/ITGB1/FAK轴驱动巨噬细胞促炎极化、进而促进TAD进展的新通路,为TAD靶向治疗提供了全新策略。
该研究由上海交通大学医学院附属第一人民医院冯睿/刘军军教授团队、海军军医大学附属第三医院周建教授、同济大学附属上海市第四人民医院景在平教授共同指导完成。朱泓樵和吴剑烈为共同第一作者。该工作得到国自然青年及面上等项目资助(81900418; 82270505)。
参考文献:
1. Brokopp, C. E. et al. Fibroblast activation protein is induced by inflammation and degrades type I collagen in thin-cap fibroatheromata. European Heart Journal 32, 2713–2722 (2011).
2. Hu, C. et al. Fibroblast Activation Protein Acts as a Biomarker for Monitoring ECM Remodeling During Aortic Aneurysm via 68Ga‐FAPI‐04 PET Imaging. Advanced Science 2411152 (2025).
3. Amrute, J. M. et al. Targeting modulated vascular smooth muscle cells in atherosclerosis via FAP-directed immunotherapy. Science eadx1736 (2026).
原文链接:
https://doi.org/10.1002/advs.202514786
本网站所有内容来源注明为“梅斯医学”或“MedSci原创”的文字、图片和音视频资料,版权均属于梅斯医学所有。非经授权,任何媒体、网站或个人不得转载,授权转载时须注明来源为“梅斯医学”。其它来源的文章系转载文章,或“梅斯号”自媒体发布的文章,仅系出于传递更多信息之目的,本站仅负责审核内容合规,其内容不代表本站立场,本站不负责内容的准确性和版权。如果存在侵权、或不希望被转载的媒体或个人可与我们联系,我们将立即进行删除处理。
在此留言










#胸主动脉夹层# #成纤维细胞活化蛋白#
0 举报