你是不是要搜索 期刊主动脉夹层 点击跳转
聚焦|主动脉夹层 前沿研究、权威解读与真实病例全剖析
本文以通俗易懂的语言,以及实战病例,为您梳理主动脉夹层的核心知识。全方位助力主动脉夹层的防治要点。
网络 - 主动脉夹层 - 2025-04-17
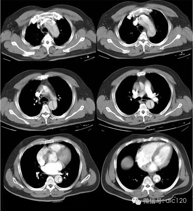
胸主动脉夹层动脉瘤CT病例影像诊断
主动脉夹层是由于高血压等各种原因导致主动脉内膜破裂,深及中膜,高速高压的血流涌入裂口,导致中膜剥离。
影像园 - 胸主动脉夹层动脉瘤,主动脉内膜破裂 - 2022-10-24
胸主动脉夹层动脉瘤CT病例影像诊断分析
主动脉夹层是由于高血压等各种原因导致主动脉内膜破裂,深及中膜,高速高压的血流涌入裂口,导致中膜剥离。
华夏影像诊断中心 - 胸主动脉夹层动脉瘤,夹层源于升主动脉近端,夹层局限于升主动脉 - 2022-10-24
胸主动脉夹层动脉瘤(DeBakey Ⅰ型)
主动脉夹层是由于高血压等各种原因导致主动脉内膜破裂,深及中膜,高速高压的血流涌入裂口,导致中膜剥离。
华夏影像诊断中心 - 胸主动脉夹层动脉瘤,主动脉内膜破裂 - 2022-10-24
容易漏诊、误诊的主动脉夹层
1 . 病例资料患者,男性,62 岁,因“腹痛、腹泻1天,左下肢无力3小时”于急诊就诊。患者近1天无明显诱因出现上腹部钝痛伴呕吐2次胃内容物,并有腹泻3次,为黄稀便。3 小时前出现左下肢无力、感觉麻木,无腿痛,无头痛、无胸背痛。既往有冠心病、心梗,及胰腺炎病史,否认有高血压、糖尿病及手术外伤史。查体:体温 36℃,心率 79 次/分,呼吸 18 次/分,右上肢血压 148/84 mmHg,左上
医学界急诊与重症频道 - 主动脉夹层 - 2016-07-24
JAMA Netw Open:长期使用降压药物与主动脉夹层患者晚期结局的关系
主动脉夹层(Aortic Dissection)是主动脉腔内的血液从主动脉内膜撕裂处进入主动脉中膜,使中膜分离,沿主动脉长轴方向扩展形成主动脉壁的真假两腔分离状态。
MedSci原创 - 主动脉夹层,降压药物,最新资讯 - 2022-05-11
Cardiovasc Res 周长萍/罗金才教授团队揭示管周淋巴管通过调节免疫延缓胸主动脉夹层
本研究首次系统描绘了胸主动脉的专属淋巴引流路径,并阐明管周LVs通过CXCL12-CXCR4信号轴调控免疫细胞向病灶部位的迁移与活化,从而延缓TAD进展的作用机制。
论道心血管 - 胸主动脉夹层,管周淋巴管 - 2025-11-14
主动脉夹层—警示征象
通过CTA检查,影像科医生能够轻松的明确主动脉夹层的诊断。但是在实际工作中,我们影像科医生是否能够准确、及时的识别出危及到患者生命或生存质量的征象,对临床处理及患者的预后非常重要。
医学影像服务中心 - 心肌梗死,急性脑缺血,腹腔脏器缺血 - 2022-09-20
2022 ACR 适用性标准® 胸腹主动脉瘤或夹层的治疗计划和随访
主动脉病变包括动脉瘤和夹层等,通常累及胸部和腹部主动脉,因此需要评估整个主动脉。
ACR官网 - 主动脉瘤 - 2024-07-05
【CLEAR柯丽尔每日一例】妊娠合并主动脉夹层
主动脉夹层是心血管疾病中的高危重症,发病突然,进展迅速,24h病死率达25%,1年的病死率高达90%。
放射沙龙 - 主动脉壁压力增加,主动脉中层异常 - 2022-10-02
主动脉夹层Stanford分型
2021-04-16
为您找到相关结果约177个













